雪 積もる
2026年02月09日

2月9日朝
前日の夕方から降り続いた雪。
朝には木々の葉に残るのみです。

孫たちが作った雪だるま、残っていました。
朝の気温、-2,5°。
*Jリーグ百年構想リーグ、始まりました。
高知ユナイテッド 対 富山
3:1 初戦勝利!


2026年02月09日

2月9日朝
前日の夕方から降り続いた雪。
朝には木々の葉に残るのみです。

孫たちが作った雪だるま、残っていました。
朝の気温、-2,5°。
*Jリーグ百年構想リーグ、始まりました。
高知ユナイテッド 対 富山
3:1 初戦勝利!


2026年01月20日

1月20日朝 飛行機雲
4~5日は、春のような気候でした。
今日は、大寒。
本格的に寒くなります。
2026年01月01日

2025年11月28日

高知新聞朝刊 投書欄から




基盤は、自分で努力すること。
適度な運動。
痛みを少しでも感じたら受診を。

運動療法+α
また、上半身-腰・股-下半身のリズムは
非常に大切です。
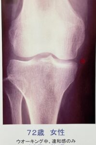
72歳、膝に違和感を感じて来院。
レントゲン きれいです。

早めに受診された方。運動療法で軽快。
次の方 70歳 内側痛

運動療法で軽快された方ですが、
残念ながら軽快すると努力をやめてしまう。
2年後には悪化。


自分の身体に意識を向けている人は治りやすく、
そうでない人は治りにくい。
2025年11月22日

さざんか1


さざんか 2



紅葉 ブルーベリーです。


くも 食欲旺盛



寒さが厳しくなりました。